あなたに
ぴったりの矯正を
矯正認定医が
診断します
透明なマウスピース矯正
インビザライン
月々5,500円~

しっかり全体を
治したい!
気になる一部分を
治したい!
千葉県東金市求名895-6
CONTACT
まずはお気軽にご相談ください
無料カウンセリング実施中
※ご希望の方には、検査を行うことが可能です
(別途検査費用が必要)。
お電話または、
WEB予約からご予約が可能です
口元や歯並びの
コンプレックスを
解消したい
できるだけ
目立ちにくい装置で
治療したい
できるだけ痛みが
少ない方法で
治療したい
できるだけ通院回数は
押さえたい
金属アレルギーが
心配
食事や歯磨きは
通常通り行いたい
マウスピース矯正(インビザライン)なら
このようなお悩みが全て解決します。

透明なマウスピースを使用した矯正治療はアライナー矯正とも呼ばれ、様々なメーカーが販売を行っています。インビザラインはアメリカのアラインテクノロジー社の製品の商標です。マウスピース矯正(インビザライン)では、患者様の歯型をもとにオーダーメイドのマウスピースを作製し、定期的に交換しながら装着を続けることで、少しずつ歯並びを整えていきます。


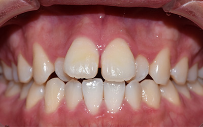
ガタガタ
デコボコ
前歯が
出ている
下顎が
出ている
すきっぱ
噛み合わせ
のズレ
噛み合わせ
が深い
前歯が
噛み合わない
CONTACT
まずはお気軽にご相談ください
無料カウンセリング実施中
※ご希望の方には、検査を行うことが可能です
(別途検査費用が必要)。
お電話または、
WEB予約からご予約が可能です

「他の患者さんがいると相談しにくい…」、「チェアーに座ると緊張して思ったことを伝えづらい…」、などの心配をされている方はご安心ください。当院では、周りを気にすることなく、じっくりとお話を伺えるように、完全個室のカウンセリングルームをご用意しています。より良い治療を提供するためには、患者様のお悩みやご要望をしっかりと知ることが大切だと考えています。広く清潔な院内でリラックスしてご相談いただければと思います。

当院では、日本矯正歯科学会認定医が在籍しています。
認定医とは、5年以上継続して学会に所属し、指定研修機関での研修や、臨床に関する論文の発表など、いくつかの条件を満たした歯科医師のみが取得することができます。
矯正治療は誰でも行うことができますが、専門的な知識や長年の経験・技術が必要な治療です。歯並びでお悩みの方はぜひ当院へお任せください。

矯正治療から治療後のメンテナンスまで、当院でトータルサポートが可能です。万が一、矯正治療中にむし歯などのトラブルが起きてしまった場合でも、迅速に対応することができます。
治療後は綺麗になった歯並びを維持し、健康な口腔内で毎日をお過ごしいただくためにも、メンテナンスが大切です。
スタッフ一同、しっかりとサポートいたします。

当院では、3D光学スキャナー「iTero」を導入しています。
iTeroを使用して患者様の口腔内をスキャンし、スキャンされた歯型はモニターへデータとして送信されます。従来の印象材(ピンク色の材料)での型採りが不要となり、患者様のストレスも軽減されます。
その他にも、データとして保存されるため、模型での変形や劣化などの心配がなく、より精密な型採りが可能です。
CONTACT
まずはお気軽にご相談ください
無料カウンセリング実施中
※ご希望の方には、検査を行うことが可能です
(別途検査費用が必要)。
お電話または、
WEB予約からご予約が可能です
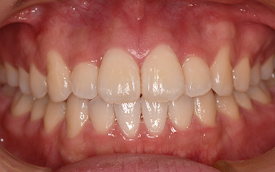
Before
After
| 治療期間 | 約2年 |
|---|---|
| 主訴 | 歯のガタガタ(叢生)を治したい、前歯の見た目と噛み合わせを改善したい |
| 使用装置 | マウスピース型矯正装置(インビザライン) |
| 治療費の目安 | 550,000円~825,000円(税込) ※難易度やプランにより異なります。詳細はお問い合わせください。 |
| リスク・副作用 | 1. 痛み・不快感:マウスピース交換時などに、一時的な痛みや違和感が生じることがあります(数日で治まることがほとんどです)。 2. むし歯・歯周病リスク:マウスピース装着中は唾液による自浄作用が弱くなるため、丁寧な歯磨きと定期的なメンテナンスが必要です。 3. 歯根吸収・歯肉退縮:歯を動かすことで歯の根が短くなったり、歯ぐきが下がったりする可能性があります。 4. 後戻り:治療後に保定装置(リテーナー)の使用を怠ると、歯並びが元に戻ることがあります。 5. その他:治療計画の変更、アレルギー症状、顎関節症状などがまれに生じる可能性があります。 |
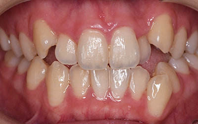
Before
After
| 治療期間 | 約2年3ヶ月 |
|---|---|
| 主訴 | 八重歯(上顎犬歯)と重度のガタガタ(叢生)を治したい、歯磨きしにくいのを改善したい |
| 使用装置 | マウスピース型矯正装置(インビザライン) |
| 治療費の目安 | 550,000円~825,000円(税込) ※難易度やプランにより異なります。詳細はお問い合わせください。 |
| リスク・副作用 | 1. 痛み・不快感:マウスピース交換時などに、一時的な痛みや違和感が生じることがあります(数日で治まることがほとんどです)。 2. むし歯・歯周病リスク:マウスピース装着中は唾液による自浄作用が弱くなるため、丁寧な歯磨きと定期的なメンテナンスが必要です。 3. 歯根吸収・歯肉退縮:歯を動かすことで歯の根が短くなったり、歯ぐきが下がったりする可能性があります。 4. 後戻り:治療後に保定装置(リテーナー)の使用を怠ると、歯並びが元に戻ることがあります。 5. その他:治療計画の変更、アレルギー症状、顎関節症状などがまれに生じる可能性があります。 |
Before
After
| 治療期間 | 1年 |
|---|---|
| 主訴 | 歯の軽度なガタガタ(叢生)を治したい、奥歯を含めた噛み合わせを整えたい |
| 使用装置 | マウスピース型矯正装置(インビザライン) |
| 治療費の目安 | 550,000円~825,000円(税込) ※難易度やプランにより異なります。詳細はお問い合わせください。 |
| リスク・副作用 | 1. 痛み・不快感:マウスピース交換時などに、一時的な痛みや違和感が生じることがあります(数日で治まることがほとんどです)。 2. むし歯・歯周病リスク:マウスピース装着中は唾液による自浄作用が弱くなるため、丁寧な歯磨きと定期的なメンテナンスが必要です。 3. 歯根吸収・歯肉退縮:歯を動かすことで歯の根が短くなったり、歯ぐきが下がったりする可能性があります。 4. 後戻り:治療後に保定装置(リテーナー)の使用を怠ると、歯並びが元に戻ることがあります。 5. その他:治療計画の変更、アレルギー症状、顎関節症状などがまれに生じる可能性があります。 |
CONTACT
まずはお気軽にご相談ください
無料カウンセリング実施中
※ご希望の方には、検査を行うことが可能です
(別途検査費用が必要)。
お電話または、
WEB予約からご予約が可能です
| カウンセリング (歯並び相談) |
無料 |
|---|---|
| 精密検査 | 33,000円 |
| 基本料金 (インビザライン コンプリヘンシブ) |
825,000円 |
| 基本料金 (インビザラインGo) |
550,000円 |
※費用は全て税込み表記です。
そんな方もご安心ください!
デンタルローンを利用すると…
インビザラインGo
月々5,500円(税込み)
※120回払いの場合のお支払い費用です。
※初回のお支払いのみ10,560円となります。
※検査・診断・調整料は別途必要となります。
インビザライン
コンプリヘンシブ
月々8,300円(税込み)
※120回払いの場合のお支払い費用です。
※初回のお支払いのみ9,890円となります。
※検査・診断・調整料は別途必要となります。
マウスピース矯正
(インビザライン)を
始めることができます!
申請の時期は確定申告と同じ2月~3月で、
申請時には下記のものが必要になります。
*総所得が200万円未満の場合は10万円ではなく総所得の5%となります。
※課税所得により還付金額が変わります。
※家族構成や家族の収入、保険料等によりバラつきがありますので、減税額はあくまで目安です。
※保険金などで補填される金額は、医療費総額より差し引かれます。
※今年1年間の医療費(医科・歯科含む)の領収書はとっておいてください。
※交通費等も含めることができます。

院長の今井です。
カウンセリングの際、矯正治療を前提としてお話を伺うのではなく、症状の診断と患者様のご希望、考えうる治療方法をしっかりと熟慮した上で、治療が必要なのかどうかをご提案します。
ワイヤー矯正ではどうしても防げなかった「とにかく目立つ」「食事が出来ない程痛い」「装置にものが挟まって気になる」といったお悩みを、このマウスピース矯正は丸ごと解決することができる治療です。
「歯並びがとにかくコンプレックスです」、「出っ歯って言われるのが嫌で…」、「こどもの頃に矯正したけど、結局歯並び悪くなっちゃって…」このようなお悩みを、マウスピース矯正で解決していけたらと思っています。
歯並びでお悩みの方は、「無料カウンセリング」というはじめの一歩を踏み出してみてはいかがでしょうか。
ご来院お待ちしていります。

インビザラインができない症状はありますか?
歯列の乱れが激しく、複雑な治療が必要な場合や、歯を大きく移動させる必要がある場合など、重度の不正咬合の治療には向いておりません。
マウスピース矯正で抜歯を行うことはありますか?
お口の状態によっては抜歯を行うケースがあります。また、抜歯まで至らなくとも、少しだけ歯を削って調整する方法をとることもあります。
スポーツをやっていますが矯正治療できますか?
可能です。
痛みはありますか?
歯を動かしますので痛みは多少ありますが、マウスピースは10日~2週間に1度交換していただきます。
歯を動かすための力の掛け方が小まめなため、従来のワイヤー矯正より、痛みが抑えられています。
食事制限はありますか?
特に食事制限はありませんが、硬いもの食べた際などに歯につけている装置(アタッチメント)が壊れる場合がございます。
インビザラインはずっと装着しているのですか?
インビザラインは、1日22時間以上装着してください。ただし、お食事・歯磨きなどの際は取り外すことができます。ご自身で簡単に取り外すことができますので、ご安心ください。